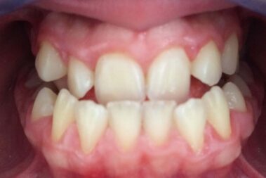
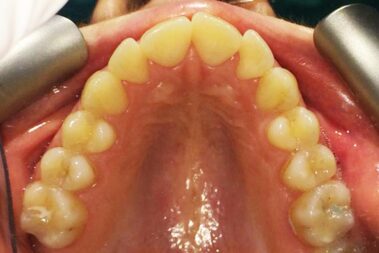
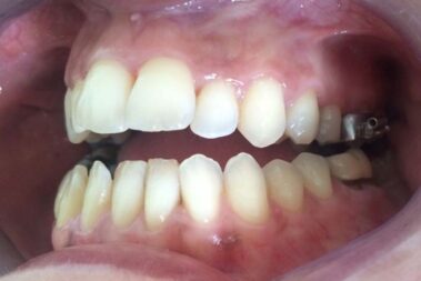
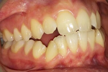
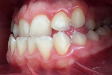
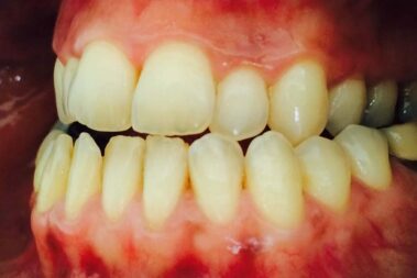
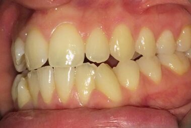
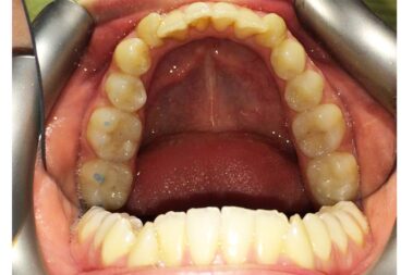
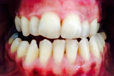
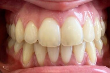
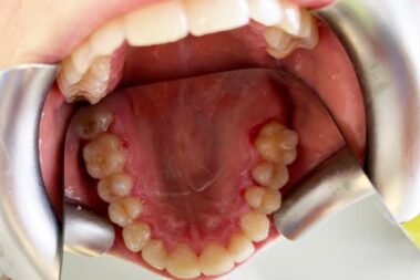
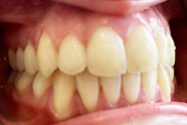
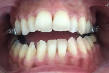
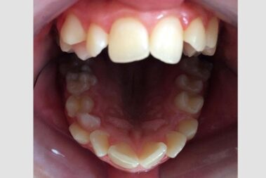
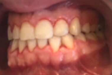
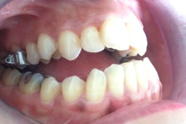
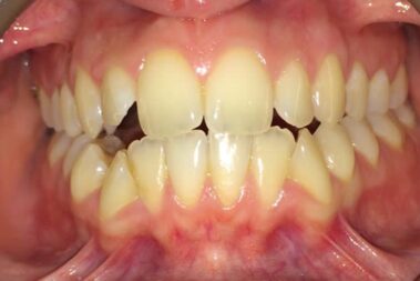
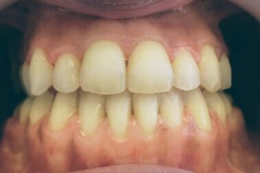
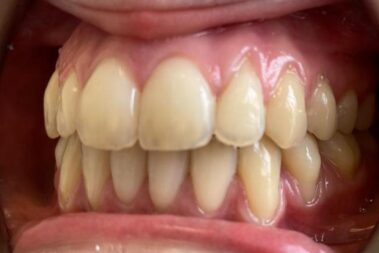
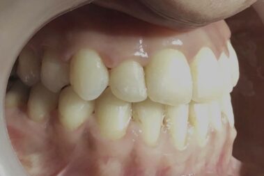
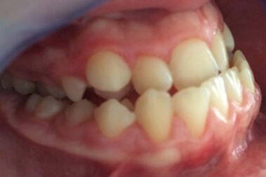
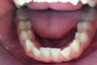
Casi Ortodontici

You are here:
Go to Top
My Agile Privacy
Questo sito utilizza cookie tecnici e di profilazione. Cliccando su accetta si autorizzano tutti i cookie di profilazione. Cliccando su rifiuta o la X si rifiutano tutti i cookie di profilazione. Cliccando su personalizza è possibile selezionare quali cookie di profilazione attivare.